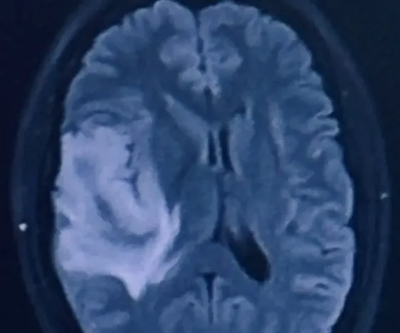
收藏女子偏头痛+脸发麻,突然癫痫昏迷后才查出脑癌!这些症状可千万别忽视啊…








本文为转载发布,仅代表原作者或原平台态度,不代表我方观点。澳洲印象仅提供信息发布平台,文章或有适当删改。对转载有异议和删稿要求的原著方,可联络 [email protected]
收藏







本文为转载发布,仅代表原作者或原平台态度,不代表我方观点。澳洲印象仅提供信息发布平台,文章或有适当删改。对转载有异议和删稿要求的原著方,可联络 [email protected]

推荐阅读
离谱!斯坦福38%新生有残疾?名校便利措施何以沦为特权游戏?
留学生日报
斯坦福
残疾学生
悉尼生活资讯,一个只要你生活在悉尼,就一定要关注的平台!
悉尼生活资讯
澳洲华人
入狱
澳媒点名2026最火爆17个热门区,悉尼这地疯狂上榜!
悉尼生活资讯
热门地区
据房产研究机构OurTop 10的最新报告显示,2024年三季度布里斯班的房屋中位价攀升至101万澳元,成功反超墨尔本,创下历史新高。
7 NEWS
房价
房市
据报道,最新公布的2023-2024财年数据显示,在新州超39.5万户符合家庭能源补贴申领资格的住户中,仅6.5万户成功提交申请,补贴申领率不足17%。
Daily Telegraph
能源补贴
最热新闻

飞上海航班紧急返航,华人乘客想换座位但拒付选座费,空中情绪激动吵闹数小时

重磅!爱泼斯坦庄园照片曝光:特朗普、克林顿与比尔盖茨全在其中!

一美军人员利用军邮走私冰毒在韩被判6年

“疑与华人犯罪集团有关!”奥克兰九处非法赌场被查!多名赌徒背负巨额债务,还有留学生!

美国行不通, 大批中国人从印尼中转来澳洲! 竟是一条不归路

千万网红博眼球直接烧掉法拉利!视频火了,他也因为逃税被抓了...

震惊内幕曝光!伯克利华人博士疑因妒忌科研成果,两年多次暗毁同学电脑与数据!

疯狂!男子携致癌基因捐精17年,全欧洲生197娃??他没恶意,但雷到处都是啊!

专题策划

你需要登录后才能评论 登录