收藏新西兰首例!婴儿时植入了死者脑膜,43年后疾病爆发,人生被摧毁了
一则刊登在《新西兰医学杂志》上的病例报告,揭开了一桩潜伏了四十多年的医疗悲剧。
在新西兰,一名43岁的男子近日被诊断出一种极为罕见的脑部疾病——“医源性脑淀粉样血管病”(iCAA)。
由于病情严重,他已经无法独立生活,被永久性地安置在医院接受照护。
而这场悲剧的源头,竟可以追溯到他在婴儿时期接受的一次脑膜移植手术。
当时医生使用了一块取自死者的脑膜组织,来修补他头部的一个缺陷。

01 一个婴儿的脑膜修复手术
故事要从1980年代初说起。
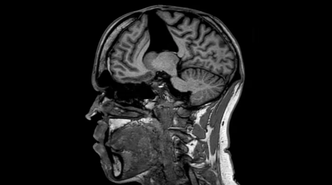
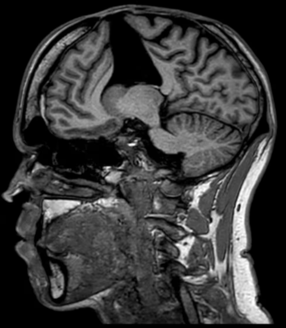
这名男子出生时,头皮上就有一个先天缺陷,导致他大脑最外层的保护膜,硬脑膜,直接暴露在外。
硬脑膜是包裹大脑和脊髓的脑膜最外层,由致密结缔组织构成,分为紧贴颅骨的骨内膜层和深层的脑膜层。它坚韧且血管分布较少,主要功能包括保护脑组织、支撑颅内结构、分隔脑区,并参与形成静脉窦以收集血液和脑脊液。

(图片来源:百度健康)
如果它一直暴露在外,就可能引发严重感染,危及生命。
为了修复这一缺陷,当时的医生使用了一种叫做“冻干尸体硬脑膜”的材料,简单来说,就是把从遗体上取下来的硬脑膜组织,经过特殊处理后,再移植到这名婴儿的头皮下面。
这种移植材料,在1980年代的全球范围内,是神经外科手术中常见的一种“补片”,用于修补脑部手术中受损的脑膜。
但在1997年,世界卫生组织就正式建议停止使用这种材料,因为人们发现它可能传播一种叫做克雅氏病的致命神经系统疾病。

02 四十年后,突如其来的“痴呆”
四十年过去了,这名男子一直过着相对正常的生活,甚至还在全职工作,独立生活。但他其实一直有轻微的癫痫病史,发作频率也不算高,控制得还不错。
然而,几年前,他的状况开始出现了让人不安的变化。
他的癫痫发作越来越频繁,而且记忆力明显下降,思维变得迟缓。
更让家人担心的是,他的性格发生了变化,开始出现一些偏执的想法,比如无端怀疑别人要害他。
家人带他到医院,经过一系列检查后,医生在他大脑里发现了关键线索:脑部影像提示,他可能患有脑淀粉样血管病(CAA)。
这是一种脑血管疾病,主要是因为一种叫做“β-淀粉样蛋白”的物质在大脑血管壁上异常沉积,导致血管变得脆弱,容易破裂出血,也会引起逐渐加重的认知功能下降——症状表现很像阿尔茨海默病。
但问题来了:他才43岁,这个年纪得CAA,实在太年轻了。
医生们开始翻阅他的病史,终于追溯到他在婴儿时期的那次硬脑膜移植手术,并得出了诊断——医源性脑淀粉样血管病(iCAA)。
03 什么是iCAA?
简单来说,iCAA就是由医疗行为“种”出来的脑淀粉样血管病。
当这名男子还是婴儿的时候,那块从遗体身上取下来的硬脑膜组织中,可能已经含有异常的β-淀粉样蛋白。
这些“坏蛋白”随着移植材料进入了他的大脑,然后在接下来的四十多年里,像种子一样慢慢扩散、沉积,最终破坏了他大脑的血管和神经功能。
这种病的可怕之处在于,潜伏期极长,从接触到发病,可能长达三、四十年。而且是无法治愈的,起码目前没有有效的方法可以阻止它的进展。
患者会经历不可逆的认知衰退,并且随时可能因为脑出血而危及生命。
04 他不是唯一一个
这名新西兰男子的病例,最近被发表在了《新西兰医学杂志》上。
医生们表示,这很可能是新西兰第一例被确诊的iCAA病例,但很可能不是最后一例。
因为在1980年代,新西兰到底有多少人接受过这种尸体来源的硬脑膜移植,当时根本没有登记。
而这类疾病的潜伏期又特别长,所以很可能未来几年还会有更多的病例出现。
实际上,在全球范围内,已经有不少相关病例被记录在案。
截至去年,国际iCAA登记系统上已有52例确诊病例。
其中,一对英国姐弟的情况尤其令人揪心。53岁的姐姐和她的弟弟,先后被确诊,成了这个登记系统上唯一的兄弟姐妹病例。
而类似的悲剧,在亚洲也早有先例。2011年,韩国媒体报道了一起病例。
一名54岁的女性,1987年接受了德国Lyodura品牌的尸体硬脑膜移植,2010年突然发病,很快去世。从接触到发病,整整潜伏了23年。
更早的1997年,日本曾报告43例因尸体硬脑膜移植而感染克雅氏病的病例。
这些案例都说明,这种医疗材料带来的风险,远远不是个别现象。
05 从“疯牛病”到脑膜移植,一个被反复验证的风险
很多人可能还记得上世纪90年代轰动一时的“疯牛病”事件。
当时人们因为食用了感染了“牛海绵状脑病”的牛肉,感染了新型克雅氏病,导致神经系统严重受损。

而用尸体硬脑膜移植传播克雅氏病的风险,也是在同一时期被确认的。正因如此,1997年世界卫生组织正式建议停止使用这种材料。
在WHO发布建议之前,澳大利亚神经病学会早在1987年就已经建议其成员不要使用人体硬脑膜移植物,同年澳大利亚也撤销了该类产品的进口许可证。
这一次的iCAA,可以说是另一种“异曲同工”的悲剧——同样是异常的蛋白质通过医疗途径进入人体,潜伏数十年后才“发作”。
06 医生提醒:查一查旧病历
在发表的文章中,新西兰的医生们特别强调:
“由于从接触到发病的时间间隔太长,如果不去翻阅病人过去的旧病历,这种暴露史很可能被忽略。”
他们提醒临床医生,如果遇到年纪较轻的患者,出现了不明原因的认知功能下降、性格改变,或者脑部影像提示CAA的表现,一定要追问一下,患者在几十年前有没有接受过脑部手术,尤其是是否使用过“尸体来源的硬脑膜移植材料”。
对于普通人来说,这起病例也提醒我们,一些医疗手段虽然在当时是最佳选择,但随着科学的发展,它们潜在的远期风险才逐渐被揭示。
而对患者来说,保留好自己的医疗记录,特别是婴幼儿时期的手术记录,也许在几十年后,会为医生提供至关重要的诊断线索。
从一次救命的手术,到一场迟来四十年的绝症。医学在进步,可有些代价,只能由当年的患者默默承担。
这名新西兰男子如今只能终身住院,他的家人也被医生告知,未来他随时可能发生脑出血,风险极高。
本文为转载发布,仅代表原作者或原平台态度,不代表我方观点。澳洲印象仅提供信息发布平台,文章或有适当删改。对转载有异议和删稿要求的原著方,可联络 [email protected]




















你需要登录后才能评论 登录