首页 > 健康 >

一地暴发传染病致 62 人死亡,全球多地已蔓延,我国尚无报道

收藏

一地暴发传染病致 62 人死亡,全球多地已蔓延,我国尚无报道

丁香园 丁香园 2024-08-24 16:05
以色列卫生部数据显示,截至当地时间 8 月 22 日,今年已有 62 人死于西尼罗河病毒感染,确诊病例数累计达 870 人 [1]。

2000~2024 年以色列西尼罗河病毒病发病率
(注:2024 数据持续更新中)
图源:参考资料 1

这是以色列自 2000 年以来最严重的西尼罗河病毒疫情。

不会直接人传人
为何 2 月内感染人数暴增 45 倍?

西尼罗河病毒是一种单链 RNA 病毒,属于黄病毒属,该属还包括寨卡病毒、登革热病毒和黄热病病毒。

鸟类是西尼罗河病毒的天然宿主,而蚊子(尤其是库蚊)则在病毒的传播过程中发挥着关键作用。受感染的鸟类,血液中会积累大量病毒,当蚊子叮咬这些受感染的鸟类时,病毒即可转移至蚊子体内。大约一周后,蚊子体内的病毒到达它们的唾液腺,此时,被这些蚊子叮咬就会感染 [2]。

淡色库蚊是西尼罗河病毒的主要传播媒介
图源:参考资料 2

多种哺乳动物,包括人类、马、狗、猫等,是西尼罗河病毒的「死胡同」宿主(dead-end host),即这些动物可能会被感染,但血液中的病毒水平不足以将感染再传染给其他动物 [3]。极小比例的人类感染是通过器官移植、输血或母乳传播的。曾经报道过一例经胎盘(母婴)传播的病例 [4]。

西尼罗河病毒的传播途径
图源:参考资料 5

现有证据表明,通过一般接触(如咳嗽、打喷嚏、触摸),不会发生「人传人」[4]。

而在本次以色列的疫情中,西尼罗河病毒的确诊数从 6 月 21 日的 19 人 [6],暴增至 8 月 22 日的 870 人,短短 2 个月增加了 45 倍,如此迅速的人群大规模感染实属罕见。

「西尼罗河病毒在以色列已经流行多年,以往主要发生在 6 月至 11 月之间。」其卫生部介绍,「今年发病时间比往年早,这可能是由于气候的变化。本次感染集中在中部地区,近期异常潮湿的天气可能导致该地区蚊子繁殖和扩张的速度加快。」[7]

本次以色列西尼罗河病毒感染地图
图源:参考资料 1

以色列气象局报告称,今年 6 月的气温比多年平均水平高出 3℃,最高达到 48℃,是有记录以来最热的 6 月 [8]。7 月初,相关部门在多个感染人数较多的地区确实捕获了大量携带有西尼罗河病毒的蚊子 [9]。

一位传染病科主任则在接受当地媒体采访时表示:「今年以色列发现的受西尼罗河病毒感染的鸟类尸体数量显著增加。中央病毒学实验室对大约 120 只鸟类尸体进行了检测,其中 36 只呈阳性,比上一年增加了 10 倍。」此外,她还提到,初步数据未显示当前的西尼罗河病毒毒株比以前的毒株更危险 [8]。

对于本次感染暴发的其他细节,官方还未发布相关公告。

致死性感染,却无特效药
全球多地已蔓延,国内尚无报道

西尼罗河病毒感染的潜伏期一般为 2~15 天。约 80% 的人类感染者表现为无症状的隐性感染,有症状的患者大多数只有轻微的发热症状,有时伴有头痛、肌痛或恶心呕吐。部分患者还可能出现短暂的手臂、腿或躯干部位的丘疹。病程通常持续不到 7 天,但许多患者在恢复期会出现严重疲劳或不适 [10]。

老年人、儿童及免疫系统较弱人群更易被感染。据以色列卫生部报告,本次疫情中,一半以上感染者大于 60 岁,其中有超过 100 名患者年龄大于 80 岁;有少数 9 岁以下儿童感染,而10~19 岁的青少年患者至少有 20 人 。其卫生部同时指出,尽管今年的病例数很高,但并未发现有异常临床表现的患者 [11]。

约 1% 的感染者会出现中枢神经系统受累情况,变现为脑炎或脑膜炎,并常常伴有颈部僵硬、精神错乱或癫痫。西尼罗河病毒一旦侵袭神经系统,患者死亡风险约为 10% 。几乎所有已报告的死亡患者均死于神经系统并发症 [2]。

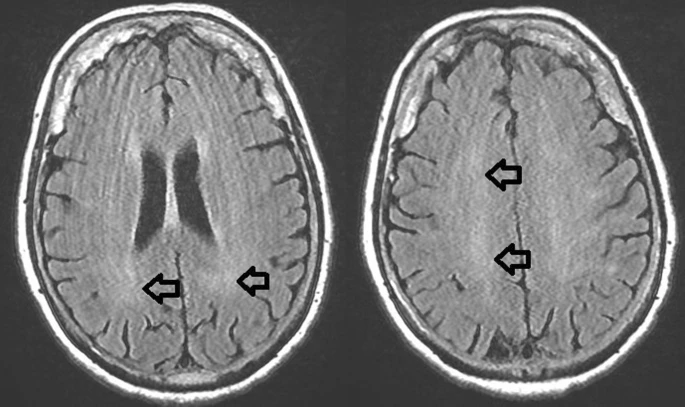
神经受侵袭患者的脑部 MRI 检查
(箭头指示处:脑叶白质不规则高强度信号)
图源:参考资料 12

西尼罗河病毒目前并没有特效药。干扰素和利巴韦林在体外试验中表现出良好的效果,但未被证明对缓解人类感染有效 [10]。对于神经侵袭性患者,主要采用支持性治疗,通常包括住院、静脉输液、呼吸支持和预防继发感染 [4]。

本次疫情,除了以色列,全球多地近期均有相关确诊病例报告,包括欧洲 9 国、美国、加拿大、土耳其等 [13~16]。其中,由于本国已有 12 人死于西尼罗河病毒,希腊对前往当地度假的游客发送了「致命性疾病」警报 [17]。

已开发出针对马的疫苗,但人类疫苗还处于临床试验阶段 [2]。因此,各国公告中关于预防病毒的重点都在于避免蚊虫叮咬。

截至目前,我国尚未发现西尼罗河病毒感染相关病例。

致谢:本文经 首都医科大学附属北京佑安医院感染综合科主任医师 李侗曾 专业审核


【注】

首都医科大学附属北京佑安医院感染综合科主任医师 李侗曾 审核意见:


我国目前尚无西尼罗河病毒感染病例报道,但是我国地域广阔,蚊子种类繁多,各种由蚊虫作为媒介的疾病都有潜在传播风险。西尼罗河病毒目前没有特效药物治疗,也没有安全有效的疫苗上市,因此需要警惕输入病例和继发本土病例的风险。


出境旅游和务工人员如果到访地区有蚊媒传播疾病,一定要做好防蚊虫叮咬的工作,居住的房间有防蚊纱窗,外出尽量长衣长裤,使用驱蚊剂等,减少被叮咬的风险;回国后如果有发热、头痛、肌肉酸痛、关节痛、乏力、皮疹等症状,一定要及时就医并告知医生自己的旅居史供医生诊断时候参考。


我国蚊媒传播疾病主要包括乙脑、疟疾、登革热,以乙脑为主。目前乙脑的发病率已经很低,疟疾也基本消除了本土病例,南方部分地区还有少数登革热病例。但是,疟疾仍有输入病例,以往也曾报道输入寨卡病毒感染病例、基孔肯雅热病例和黄热病的病例,因此还是需要做好出境人员的科普宣传、入境筛查和本土病例的监测工作。


题图来源:图虫创意

参考资料:

[1]https://www.gov.il/en/pages/disease-west-nile-fever
[2]https://en.wikipedia.org/wiki/West_Nile_virus
[3]https://en.wikipedia.org/wiki/Host_(biology
[4]https://www.who.int/zh/news-room/fact-sheets/detail/west-nile-virus
[5]https://www.ncbi.nlm.nih.gov/books/NBK544246
[6]https://pune.news/international/israel-reports-19-west-nile-fever-cases-since-may-193424
[7]https://www.gov.il/en/pages/26062024-03
[8]https://themedialine.org/life-lines/west-nile-virus-is-on-the-rise-across-israel-heres-how-you-can-stay-safe
[9]https://www.gov.il/en/pages/03072024-01
[10]Rossi SL, Ross TM, Evans JD. West Nile virus. Clin Lab Med. 2010 Mar;30(1):47-65. doi: 10.1016/j.cll.2009.10.006
[11]https://english.news.cn/20240722/82dc9595f6e34edabca906ed93f5e831/c.html
[12]Falcinella, C., Allegrini, M., Gazzola, L. et al. Three case reports of West Nile virus neuroinvasive disease: lessons from real-life clinical practice. BMC Infect Dis 21, 1132 (2021). https://doi.org/10.1186/s12879-021-06827-9
[13]https://www.ecdc.europa.eu/en/west-nile-fever/surveillance-and-disease-data/disease-data-ecdc
[14]https://www.cdc.gov/west-nile-virus
[15]https://ottawa.ca/en/city-hall/city-news/newsroom/west-nile-virus-confirmed-ottawa-area-mosquitoes-and-first-ottawa-human-case-2024
[16]https://www.turkiyetoday.com/lifestyle/west-nile-virus-outbreak-reported-in-istanbul-turkiye-43742
[17]https://www.derbytelegraph.co.uk/news/uk-world-news/greece-holiday-warning-12-die-9502856

本文为转载发布,仅代表原作者或原平台态度,不代表我方观点。澳洲印象仅提供信息发布平台,文章或有适当删改。对转载有异议和删稿要求的原著方,可联络 [email protected]

0 条评论
网友评论仅供其表达个人看法,并不表明网站立场

你需要登录后才能评论 登录

    推荐阅读