收藏中国游客在泰国吃了这道菜,回国查出一肚子虫...
生腌,泰国最常见的菜式。
然而,越来越多的中国游客吃出事了。

中国游客痛苦经历:第一次去泰国吃生腌后,肝吸虫阳性
完整记录,公布如下——
2024年2月20日:在泰国吃了生腌螃蟹和虾,回来查了下那个虾不像海里的,拉肚子一次,没啥特别的症状,也没发热,之前有点难受以为是水土不服回国后刚好一个月
2024年3月25日:去华山医院感染科查了嗜酸正常,当时觉得不是寄生虫
2024年4月2日:腰部肌肉疼,过几天好了
2024年4月7日:去仁济医院消化科查大便,没发现寄生虫,觉得应该没虫,不可能一次就中就没去查血了

2024年4月14日:为了预防吃了肠虫清,以为没事了,双保险的
2024年4月19日:因为喝了咖啡腹泻,感觉肠胃不行去了仁济消化科开了益生菌,调理肠胃
2024年5月19日:单位体检一切正常,只是体检肝功能没查胆红素
2024年5月22日:去查虫果然阳了,怪不得最近睡不好,前两天体检什么问题没有,腹部肝脏彩超也正常,幸好去查了血清啊,四种虫子自费3200
2024年5月24日:去华山医院感染科复诊,医生说住院要一周,要做肠镜等全身检查,我说为什么要做肠镜,说会寄生到全身很多地方,没有药,住院的话可以帮我想办法,住院床位要等一两周,后来打了个电话给我的初诊医生,又说让我去瑞金医院。

据悉,华支睾吸虫病(又称肝吸虫病)是由华支睾吸虫寄生于人或哺乳动物肝胆管内所引起的一种寄生虫病。
华支睾吸虫轻度感染可无症状,重者有腹痛、腹泻、消化不良、营养不良、疲倦乏力、肝区隐痛、肝肿大等临床表现,晚期可出现肝硬化、腹水和侏儒症,还可并发胆囊炎、胆管炎和胆管阻塞等。
在重症情况中,若得不到及时治疗最后可并发其他感染,出现肝昏迷,胃肠出血等症,或由于长期腹泻导致严重脱水和水电解质平衡紊乱而死亡。
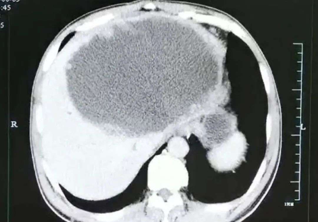
下图,2021年典型案例,四川谢先生在食用生鱼后,入院查出左肝被掏空。
罪魁祸首,就是肝吸虫。

此外,泰国今年还出现了另一“生腌危险案例”。

泰国知名主页搬运了一则某位在中国微博平台拥有近300万粉丝的中国美食博主的视频,称该博主赴泰旅游期间因食用生腌而腹泻入院,在其制作提醒视频并发布在网络平台上后,登上了中国微博热搜。

主页配文称,该博主是在泰国某夜市食用了生食和腌制食物,之后便出现腹泻和食物中毒症状,入院治疗花费了约20,000泰铢,并称这可能与泰国的极热天气有关。
同时,主页还指出,观看该博主视频后发现其食用了多种食物并称赞食物十分美味,上述提醒视频是在其入院治疗后发布。
总而言之,泰国的生腌虽然参考了潮汕的制作方法,但泰国当地的饮食习惯和气候变化与潮汕完全不同。
准确地说,泰国人对于“生腌”的理解更偏向于“不处理的原汁原味”,同时过于追求新奇,进而在饮食安全的处理上过度欠缺,甚至手法极其残忍。

近年来,泰国部分民众流行起生吃鱿鱼,他们用活着的鱿鱼沾海鲜蘸水然后生吃,并直呼美味极了。
据悉,鱿鱼刚被放入海鲜蘸水中时会激烈挣扎,后渐渐没有动静。

“生吃鱿鱼菜单”在泰国网络上引起了争议,不赞成的网友表示“这是虐待动物,此种吃法十分残忍,动物也能感受到痛苦”等。

另外也有一些网友表示“其它动物被杀时难道不痛苦吗?人类还不是照样吃得津津有味”等。
此外,泰国卫生部也就“生吃鱿鱼”一事发出提醒,生吃鱿鱼可能会食入寄生虫和细菌,建议民众烹饪熟后再食用,以降低患病风险。
一段时间以来,因为生吃鱿鱼而腹中查出大量寄生虫的泰国人不在少数,但是大多数年轻人以此为乐,并且还邀请韩国美食主播一起拍摄生吃鱿鱼的全过程。

随后,在生吃鱿鱼爆火之后,泰国又掀起了生吃海胆的流行浪潮。
顾名思义,就是空手捞海胆,捞上直接打开生吃。

泰国春武里府海洋资源管理厅提醒芭提雅格兰岛游客:不要抓海洋里的海胆生吃,一方面生吃海胆可能会引起食物中毒或是寄生虫引起的各种病症,而另一方面这样的行为会对当地旅游形象造成一定的影响。
管理厅表示,生吃海胆不一定安全,因为不是所有海域都没有寄生虫。

此外,海洋资源管理厅再次提醒游客,虽然海胆不是保护动物可以抓来食用,但是在水生物保护区及未经允许的海洋保护区内捕捉海胆,根据相关法规仍会受到5000-50000铢的罚款。
目前,春武里海洋资源管理厅已和相关部门协调,协助告知游客及阻止类似行为再发生。

另外,除了上述生腌和生食之外,泰国还有更劲爆的吃法。
同样,该食物同样充满“寄生虫危险”。
近日,泰国媒体报道称,某男子选择生吃大壁虎(又称蛤蚧)的方式来增强性能力,此人相信:其性能力在食用大壁虎3小时后就得到改善,且这种方法源自该名男子祖父母的亲身尝试。
该男子表示,他并不同意此前某些专家关于食用野生动物会增加患上寄生虫病风险的言论,因为他坚信生吃大壁虎的好处,而不是为了凭借生吃大壁虎这件事来博眼球。
他通常会选择购买来自农村的大壁虎,但并不是拿到大壁虎后就立即食用,需要用苏打水来清洗其表面的细菌。
然而,大多数泰国医生要求其立即前往医院检查寄生虫,并希望泰国媒体提醒市民游客不要模仿“极端泰国饮食方法”,否则会给身体带来危险。
与上述“生吃蛤蚧”类似,泰国素林府出现“惊悚”美食——生吃活的黑毒蝎,可不是谁都敢吃的。


据泰国八台报道,首先需要到田间林中寻找裹在牛粪便中的蝎子幼虫和成年黑蝎子,然后将黑蝎子尾部的毒液按在指甲上逼出来。


接着,恐怖的生吃法来了——蝎子可以直接食用,也可以用活的黑蝎子蘸着用大蒜和小米辣调味的鱼露食用,当地人称味道十分鲜美……
当然,食用过后,进医院的村民不在少数。



看完上述案例,泰国网在此提醒:不管是初来泰国的中国游客,还是长居此地的同胞,都不要轻易尝试当地的“生腌”和“生食”。
这个领域,无关“入乡随俗”,完全是为了自己的身体考虑。
泰国菜,有大量“正常人类菜单”供选择品尝,并且新鲜,营养丰富。
实在犯不着故意追寻偏远奇葩生食野味,让无家可归的寄生虫们,终于在你身体内“分到了一套房”。
特色的美味佳肴,应当建立在安全杀菌杀虫的基础上——这是不脱离科学的,基本旅游常识。
千万别心大无惧,试试就逝世。
本文为转载发布,仅代表原作者或原平台态度,不代表我方观点。澳洲印象仅提供信息发布平台,文章或有适当删改。对转载有异议和删稿要求的原著方,可联络 [email protected]




















你需要登录后才能评论 登录