收藏世界首例治愈!不明原因全身怪痛 10 年,中国专家:不但能治好,还给你做个新药
温州医科大学附属第二医院儿童风湿科郑雯洁主任看着病历:眼前表情怯生生的,走路慢慢地、一跛一跛的思思,已经 11 岁了。
但瘦小的她,看上去像个六七岁的孩子。

思思(右)治疗前与同龄人对比
从学会走路起,思思就在忍受无尽的疼痛——反反复复无休无止的关节肿痛,让她不仅不能跑步,连起身、走路都非常困难。
虽然病情严重也罕见,但郑主任头疼的并不是诊断。
「临床上并不难确诊。但棘手的是,有了临床诊断也不能治好她,她依然要忍受这种折磨。」
有临床诊断,却找不到真正病因?
根据思思的症状:隐性多部位骨骼疼痛和局限性压痛,疼痛夜间加剧;病灶局部有肿胀和发热,但是体格检查并无明显的阳性特征……
从核磁共振的检查结果看,思思的多个关节出现炎症和破坏,验血报告也表明血清中存在较高水平的炎症因子。
尤其是 10 年来反复发作,新的病灶可能发生在原病灶的部位,也有新发的,伴随有低热、体重减轻。郑主任很快据此,给思思下了临床诊断:
慢性复发性多灶性骨髓炎(Chronic recurrent multifocal osteomyelitis,CRMO)。
炎症通常是机体在遇到感染的风险下触发的免疫保护。但自身炎症性疾病由于患者自身的基因发生了突变,导致在没有感染的情况下,免疫系统自动激活,自发产生了炎症,有时病情十分凶险甚至危及生命。
CRMO 就是一种发生于儿童的无菌性慢性炎性疾病,主要累及骨骼。当前全球报道病例仅略多于 500 例,但一般认为本病很有可能漏诊和漏报,因为大众和学界对其认识不足、缺少经过验证的诊断标准,同时太多国家没有条件收集数据。

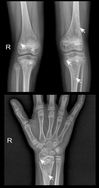
患者的病灶部位的放射学检查结果,包括股骨远端和胫骨近端硬化边缘的溶骨性病变,伴有轻度骨膜反应(箭头),股骨远端和胫近端干骺端病变(星号)(上图)和桡骨远端硬化边缘的溶解性病变(箭头)(下图),引自 Wang et al., 2023, Immunity 56, 1485–1501
大量数据显示,即使以目前最优化管理方案治疗,该病也有半数患者残留后遗症损害,包括慢性疼痛、骨骼畸形、肢体不等长等。躯体上遗留的畸形外观,会对患者的精神心理产生很大影响。
临床诊断有了,郑主任随即根据 CRMO 的遗传特征,为思思进行了遗传测序检查,期待能够真正找出病因、解决根本问题。
但返回的遗传测序阴性诊断报告,让后续的治疗一下陷入了困境——致病基因找不到,那就无法治愈。
在 CRMO 的治疗上,目前国内外并没有一致的治疗标准,也缺乏随机对照实验的疗效研究。
在没有找到致病基因位点、对因下药的情况下,治疗 CRMO 的主要目标只能是缓解临床症状,治法和其他无菌炎症类疾病无异。
第一种就是非甾体抗炎药物(NSAIDs),也就是目前 CRMO 的一线治疗药物。几乎所有 NSAIDs,如吲哚美辛、萘普生等等,对 CRMO 患者均有疗效,但同时研究表明,NSAIDs 不是累及脊椎骨或有关节炎的 CRMO 患者治疗的最佳选择——思思就是这类患者。
二磷酸盐类,是可供选择的另一种主要治疗药物,取其能抑制破骨细胞的骨吸收作用来保护患者的骨骼。但应用此类药物,都是套用成骨不全症的方法来治 CRMO。
一方面,剂量、给药间隔时间都还不明确,另一方面有文献报道停药 8 年之久后,在患者尿液中竟检验出二磷酸盐的代谢终产物,应用此类药物治疗青少年 CRMO 的长期副作用需要更深一步的探索研究。
另外,肿瘤坏死因子-α 拮抗剂、糖皮质激素也可缓解患者的病情,但是因糖皮质激素药理学特征,限制了其剂量和持续时间,且青少年患者更应慎重考虑长期使用糖皮质激素治疗,会给患儿生长带来的不良副反应。
而且即便症状缓解,CRMO 复发概率依然相当高。
思思还这么小,就不能治好了吗?
就因为思思反复的症状和找不到致病基因陷入困惑之时,郑主任突然想到了一个「救星」:3 年前在学术会议上结识的浙江大学生命科学研究院研究员,周青教授,他的实验室面对这样的「阴性病例」有着更为丰富的经验。
思思的病情和测序报告,就这样发送到了浙大的实验室。
该如何给「狂飙」的免疫系统踩下刹车?
思思的基因检测报告是阴性的,很可能就是携带了未知的突变基因——尚未在人类的疾病信息库里「备案」。
拿到了思思的全外显子组测序报告,周青实验室、浙江大学良渚实验室俞晓敏课题组联合开展研究,根据详尽的测序结果,对每一个出现罕见变异的位点,进行更细致的筛查分析。
随后团队发现,思思的 IL1R1 基因上携带了一个新发突变。而这个位点,让人觉得分外「面熟」。
美国国立卫生研究院曾发现一种类似疾病,命名为白细胞介素-1 受体拮抗剂缺陷病(DIRA),他们在患者身上鉴定出致病基因 IL1RN 缺陷,并最终成功治愈。
IL-1R1 与 IL-1RN 可以说是「一根绳上的蚂蚱」,处于相同白细胞介素-1(Interleukin-1,IL-1)信号通路上,这条通路是机体调控炎症和免疫反应的关键之一。
IL-1 和它的受体 IL-1R1 相互作用,将会激活免疫细胞和炎症反应。而 IL1RN 基因编码的 IL-1Ra 是 IL-1R1 信号通路的拮抗因子,与 IL-1α/β 竞争性结合 IL-1R1,负向调控这条炎症通路。

IL-1 信号通路(图片由周青实验室创作,使用需经过作者同意)
而且思思的症状,恰与报道中的这位 DIRA 患者类似。这些信息强烈地提示,王俊博士找到的这个 IL1R1,是藏在思思体内重要嫌犯。
为了确定这个突变的致病性,团队里的王宇沙博士对这个突变展开了一系列的功能研究和分析。

研究人员检测了思思的基因突变位点并进行了一系列体外实验研究
经历了几个月的探索尝试,针对突变 IL-1R1 的体外研究终于有了发现。
如果我们把 IL-1R1 在体内驱动炎症比作开车,那么 IL-1α/β 控制着「油门」 ,而 IL-1Ra 控制着「刹车」。
如果它踩向「油门」,炎症反应就激活;踩向「刹车」,炎症反应就抑制。
而在思思身体里,IL-1R1 的关键位点 K131 发生突变,而这个位点恰好处于 IL-1R1 踩「刹车」的「脚」上——原本携带正电荷的赖氨酸,突变为带负电的谷氨酸,让电荷逆转,踩不下「刹车」。

IL-1R1 中突变位点的正电荷属性对其与 IL-1Ra 的相互作用至关重要
于是,只有油门没有刹车,炎症就一路狂飙,血清中高浓度的炎症因子进一步促进了破骨细胞的分化,导致关节处的骨溶解,造成骨髓炎和多处关节炎的反复发作。
不仅治好了,还做出了新药
研究团队将这种由 IL-1R1 突变导致的新型自身炎症性疾病,命名为 LIRSA(Loss of IL-1R1 Sensitivity to IL-1Ra)。
元凶确认,无疑给思思的病情带来了转机。
将最新研究出来的致病机制和治疗方案上报后,经过多轮专家论证、医院伦理委员会的批准和思思父母的知情同意,研究人员将靶向 IL-1β 的卡那单抗(canakinumab)注射到思思体内。
接受靶向 IL-1 治疗后,思思的病情迅速好转:
她的骨髓炎减轻了,关节肿痛明显缓解,生活状态和健康人无异。治疗之前因膝关节疼痛而难以正常行走的她,在治疗后身高也开始明显增长。

接受卡那单抗治疗后的思思各项检测均趋于正常
但对于思思的治疗,却远不是研究团队的终点。
目前,有三类针对 IL-1 信号通路过度激活的治疗药物:阿那白滞素(Anakinra)、卡那单抗(Canakinumab)和利那西普(Rilonacept)。
思思使用的 Canakinumab(卡那单抗)是一种人源单克隆抗体,与人白细胞介素-1β(IL-1β)具有高亲和力和选择性结合,并通过阻断其与受体的相互作用来中和 IL-1β 的活性。但仍然不完美的问题在于,它无法结合抑制 IL-1α。
利那西普是由 IL-1R1 和 IL-1RAP 蛋白片段改造的融合蛋白,可以像一个「陷阱」一样捕获「油门」——IL-1α 和 IL-1β 而发挥作用。但该药依然并非完美,还存在问题:
野生型的 IL-1R1 不仅锁油门,也无差别结合 IL-1Ra,影响刹车,这样就会中和病人体内发挥抑炎作用的「刹车」,自身本来有的刹车被限制了,也就降低了抑制炎症通路的最终效果。
受 LIRSA 的启发,研究团队将 IL-1R1上的 K131E 突变引入利那西普,阻断「陷阱」对于「刹车」的捕获。

突变的致病机制和药物作用机制示意
这一设计,让利那西普限制自身刹车的短板被有效解决,在分子层面更为精准,对抑制 IL-1α 和 IL-1β 导致的炎症效果明显提升。
相关论文今年已以 Identification of an IL-1 receptor mutation driving autoinflammation directs IL-1-targeted drug design 为题发在上 Immunity(IF 32.4)。
创新设计后的药物取名为 Rilabnacept(利来西普),一系列的体外实验和动物实验也证明:在同等给药量时,相比此前已用于临床的前述药物,利来西普能产生更好的治疗效果。
这个从一个给思思带来病痛的基因突变里脱胎而出的药物,极有可能在不久的将来,就能开始让更多患者获得有效治疗。
本文为转载发布,仅代表原作者或原平台态度,不代表我方观点。澳洲印象仅提供信息发布平台,文章或有适当删改。对转载有异议和删稿要求的原著方,可联络 [email protected]




















你需要登录后才能评论 登录